Starpskriemeļu diska trūces rezorbcijas metode
Starpskriemeļu disks sastāv no divām sastāvdaļām: recekļveida kodols (nucleus pulposus) un fibrozais gredzens (annulus fibrosus). Fibrozais gredzens sastāv no blīvām šķiedrām, kas ir sadalītas ārējā un iekšējā slānī. Tie sastāv no savstarpēji savienotām I un II tipa kolagēna šķiedrām. To galvenā funkcija ir saglabātrecekļveida kodolu un uzturēt triecienu absorbējošu funkciju. Starpskriemeļu diska kodols parasti sastāv uz 80% no ūdens. Tas nodrošina triecienu absorbējošu funkciju, absorbējot ķermeņa fiziskās aktivitātes triecienu un noturot divus skriemeļus attālumā vienu no otra.

Starpskriemeļu disku bojājumu attīstības mehānisms

- Sāpes. Var sāpēt muguras zonā, kā arī atstaroties uz ekstremitāti. Sāpju raksturs var būt ass, straujš, velkošs un pulsējošs.
- Jušanas traucējumi. Pie nerva kompresijas var būt samazināta jušana, tirpšanas, "skudriņas", dedzināšanas sajūta.
- Vājums. Pie nervu bojājuma var justies vājums ekstremitātē vai pie konkrētām kustībām. Pie ilgstošās kompresijas uz nervu saknīti var sākties muskuļu atrofija uz samazinātas nervu signālu vadītspējas fona.
- Urinācijas traucējumi. Pie kompresijas uz sakrālā nerva pinumu var būt traucēta uroģenitālā funkcija. Starpenes muskuļu pasliktināšanās un samazināta dzimumorgānu inervācija.Jāatzīmē, ka urinācijas problēmas nav tipiski diska trūces simptomi.
Starpskriemeļu trūces ārstēšana

Kā notiek rezorbcija?
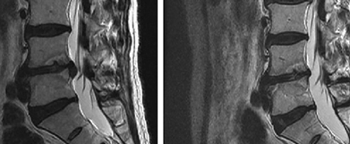
Samazinoties starpskriemeļu diska trūcei, pacients sāk justies atvieglojums un akūts sāpju sindroms pamazām pārvēršas nelielā diskomfortā un pēc tam pazūd pavisam. Sāpju simptomu izzušanas ātrums ir 1-3 mēneši, bet atsevišķos gadījumos tas var aizņemt ilgāku laiku, atkarībā no organisma īpatnībām un trūces veida.

Kas ietekmē starpskriemeļu trūces rezorbcijas kvalitāti?
- Jebkuru locītavu var atslogot, nofiksēt un dot atpūtu. Mugurkaulam šādi apstākļi nav iespējami pastāvīga vertikālā/aksiālā spiediena dēļ.
- Izmaiņas fizioloģiskajos procesos. Diska audu barošana var tikt traucēta hronisku iekaisuma procesu un pašu mugurkaula ķermeņu struktūru izmaiņu dēļ.
Šie divi faktori ietekmē rezorbcijas kvalitāti un veiksmi. Pat ja rezorbcija notiek pati no sevis (mazāk nekā 40% iespējamība), literatūrā ir aprakstīts vidējais termiņš 12-18 mēneši, atkarībā no diska bojājuma pakāpes un organisma spējas atjaunoties.
Kāpēc rezorbcijas metode?
Rezorbcijas metode ne tikai veiksmīgi ārstē starpskriemeļu trūci, bet arī palīdz novērst turpmākus ievainojumus, jo notiek visas zonas fizioloģiska stimulācija, kas nozīmē, ka organisms ātrāk reaģē uz traumatiskiem mehānismiem un sāk atveseļošanos.
Starpskriemeļu trūces rezorbcijas kursā tiek izmantotas šādas metodes:- Augstas intensitātes lāzerterapija (HILT) - stimulē trūces samazināšanos, paātrina dzīšanas procesu un vielmaiņu audos, asins apgādi, pretsāpju efekts;
- Ekstrakorporālā triecienviļņu terapija (ESWT) - stimulē trūces samazināšanos, mazina muskuļu sasprindzinājumu un stīvumu, veicina jaunu asinsvadu veidošanos, pretsāpju efekts;
- Augstas intensitātes magnetoterapija (SIS) - stimulē trūces samazināšanos, uzlabo asinsriti, pastiprina audu reģenerāciju, mazina sāpes, tūsku un muskuļu sasprindzinājumu;
- Elektromiostimulācija (EMS/TENS) - uzlabo asinsriti, audu vielmaiņu un audu elastību, kā arī pretsāpju iedarbība;
- Manuālā terapija - noņem funkcionālos blokus no blakus esošajiem segmentiem, kas uzlabo locītavu darbību ap bojāto vietu;
- Masāža - izmanto kā nervu sistēmas aktivatoru un inhibitoru. Masāžas tehnika var gan nomierināt saspringtās muskuļu struktūras, gan tās uzbudināt;
- Vingrošana un fiziskā rehabilitācija - vingrošana ir vienīgā metode, kas var stiprināt struktūru, tāpēc vingrošanas programmas īzpilde ir svarīga sastāvdaļa slimības ārstēšanā.


